インプラント
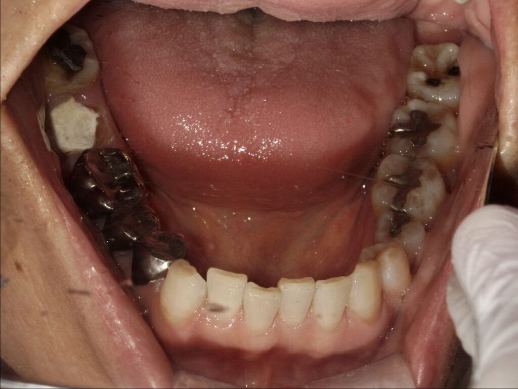
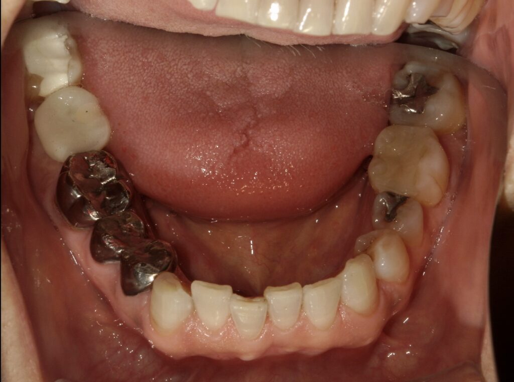
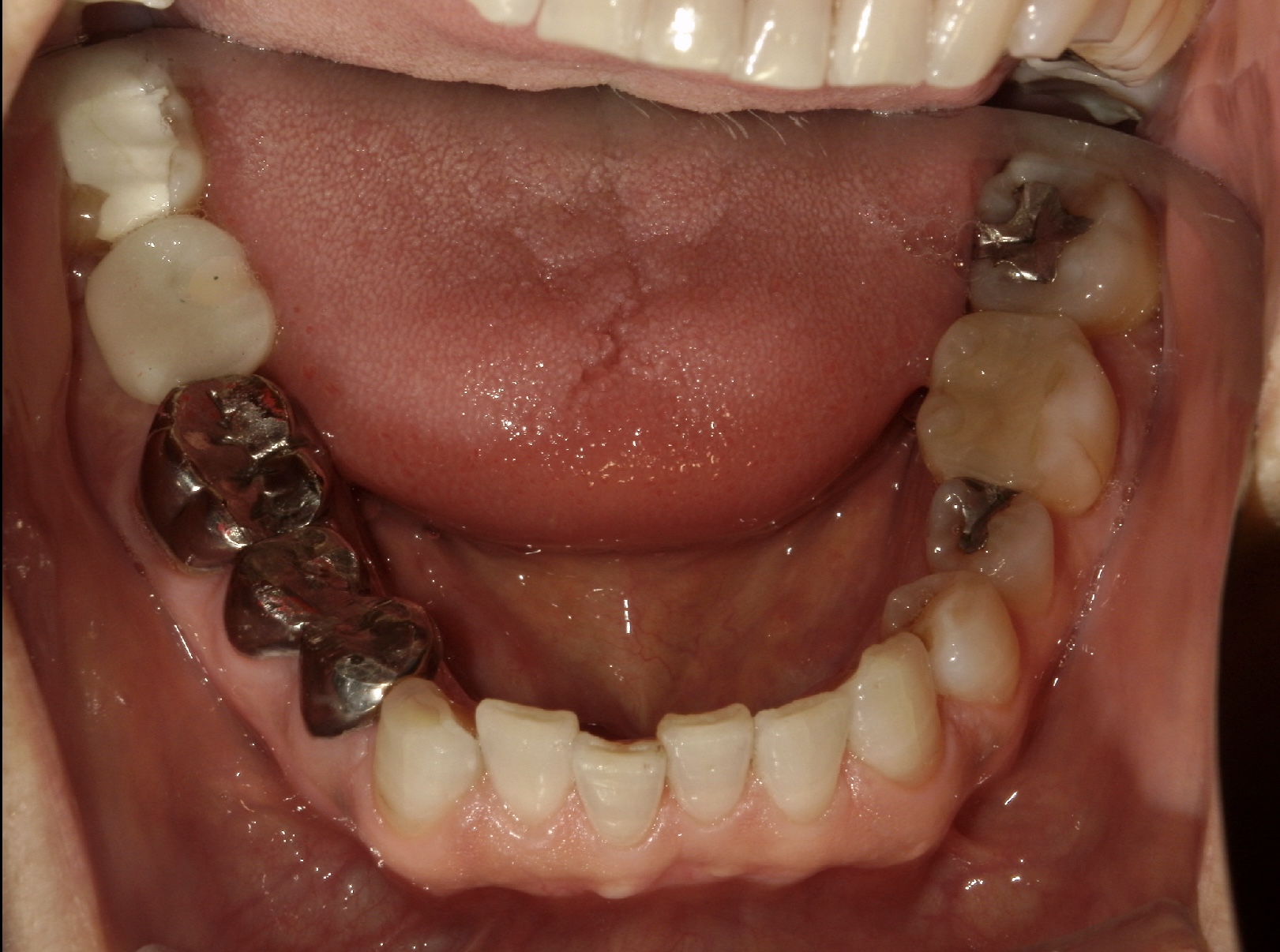
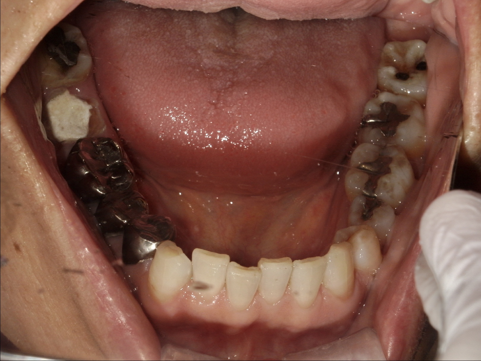
右下奥歯を1本インプラント治療した症例
| 主訴 | 右下欠けたところがある。その他虫歯を治療したい |
|---|---|
| 年齢 | 60代女性 |
| 治療内容 | スクリューポスト不適合で、根尖病巣も大きく残すことが難しいため抜歯しインプラント治療へ。 歯槽骨の量が不足している場合に、人工骨や自家骨を移植し、特殊な膜で覆うことで骨の再生を促し、インプラントを埋入できるようにするGBRという治療法も併用。 |
| 抜歯部位 | 右下7 |
| 費用 | 術前検査:27,500 1次オペ:220,000~ 2次オペ:20,000~ GBR:50,000~ 補綴:220,000~ 計600,000~+税 |
- リスク・副作用
- 腫れや疼痛を感じる、違和感を感じるなどの症状を生じることがあります。
また喫煙、糖尿病、加齢、清掃不良などに伴いインプラント周囲の骨に炎症が起こり、再治療が必要になる場合があります。
10年保証を受けるには当院にて年2回以上のメンテナンスが必要になります。
(メンテナンスはインプラント治療に関わらず、一般的にご自身の歯の場合でも必要であると思われます。)




