インプラント
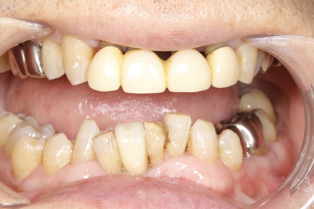
前歯1本をインプラント治療した症例
| 主訴 | 下の前歯が仮歯のままになっている。歯との隙間が気になる |
|---|---|
| 年齢 | 60代男性 |
| 治療内容 | 下の前歯が仮歯のままで歯肉との隙間が気になるとのことでインプラント治療を選択。 歯槽骨の量が不足している場合に、人工骨や自家骨を移植し、特殊な膜で覆うことで骨の再生を促し、インプラントを埋入できるようにするGBRという治療法も併用。 |
| 費用 | 術前検査:27,500 1次オペ:220,000~ 2次オペ:20,000~ GBR:50,000~ 補綴:220,000~ 計600,000~+税 |
- リスク・副作用
- 腫れや疼痛を感じる、違和感を感じるなどの症状を生じることがあります。
また喫煙、糖尿病、加齢、清掃不良などに伴いインプラント周囲の骨に炎症が起こり、再治療が必要になる場合があります。
10年保証を受けるには当院にて年2回以上のメンテナンスが必要になります。
(メンテナンスはインプラント治療に関わらず、一般的にご自身の歯の場合でも必要であると思われます。)




