Implant
インプラント
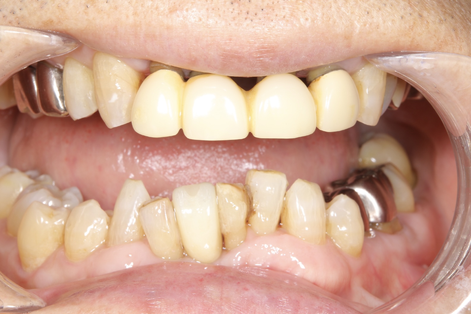
世界でも数多くの歯科医師に選ばれている「ストローマンインプラント」を採用。先進設備による精密な検査・診断と丁寧な処置で、埋入手術による痛みや腫れを減らし、安定性の高い長持ちするインプラント治療を提供しています。
| 診療時間 | 月 | 火 | 水 | 木 | 金 | 土 |
|---|---|---|---|---|---|---|
| 9:00-13:00 | ⚫︎ | ⚫︎ | ⚫︎ | ⚫︎ | ー | ⚫︎ |
| 14:00-17:30 |








世界でも数多くの歯科医師に選ばれている「ストローマンインプラント」を採用。先進設備による精密な検査・診断と丁寧な処置で、埋入手術による痛みや腫れを減らし、安定性の高い長持ちするインプラント治療を提供しています。


成長途中の子どものうちに矯正治療を始めると、効率的に顎のスペースを広げたり良い歯並びへと導くことができ、歯を動かすときの痛みや治療にかかる費用・期間を減らして良い歯並びを手に入れることができます。


ふかや夢デンタルクリニックの医院の様子や、
イベントの様子などを配信中!
