インプラント
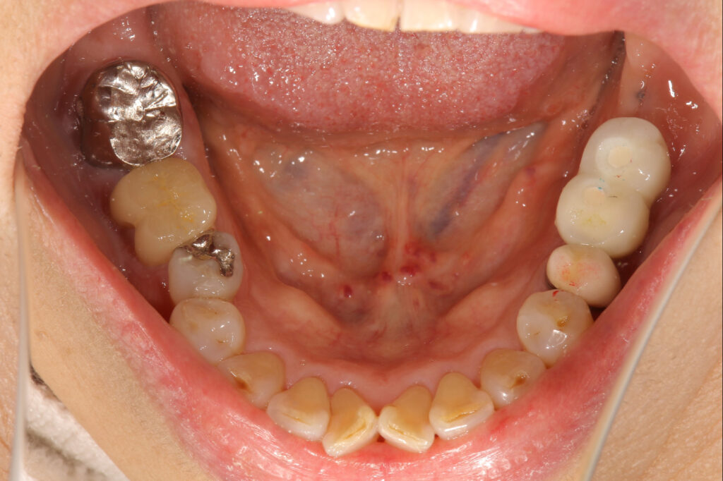
左下奥歯を2本インプラント治療した症例
| 主訴 | 前歯欠けた。その他虫歯治療してほしい。 |
|---|---|
| 年齢 | 70代女性 |
| 治療内容 | 根尖病巣で排膿もあり残すことが難しいため抜歯しインプラント治療へ。 歯槽骨の量が不足している場合に、人工骨や自家骨を移植し、特殊な膜で覆うことで骨の再生を促し、インプラントを埋入できるようにするGBRという治療法も併用。 最終的なかぶせものはご自身の歯と変わらないような仕上がりとなっています。 |
| 抜歯部位 | 左下6 |
| 費用 | 術前検査: 27,500 1次オペ: 400,000〜 2次オペ: 40,000〜 GBR: 50,000〜 補綴: 440,000〜 計900,000〜+税 |
- リスク・副作用
- 腫れや疼痛を感じる、違和感を感じるなどの症状を生じることがあります。
また喫煙、糖尿病、加齢、清掃不良などに伴いインプラント周囲の骨に炎症が起こり、再治療が必要になる場合があります。
10年保証を受けるには当院にて年2回以上のメンテナンスが必要になります。
(メンテナンスはインプラント治療に関わらず、一般的にご自身の歯の場合でも必要であると思われます。)



