インプラント
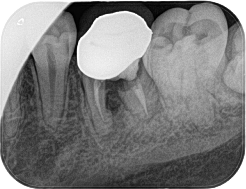
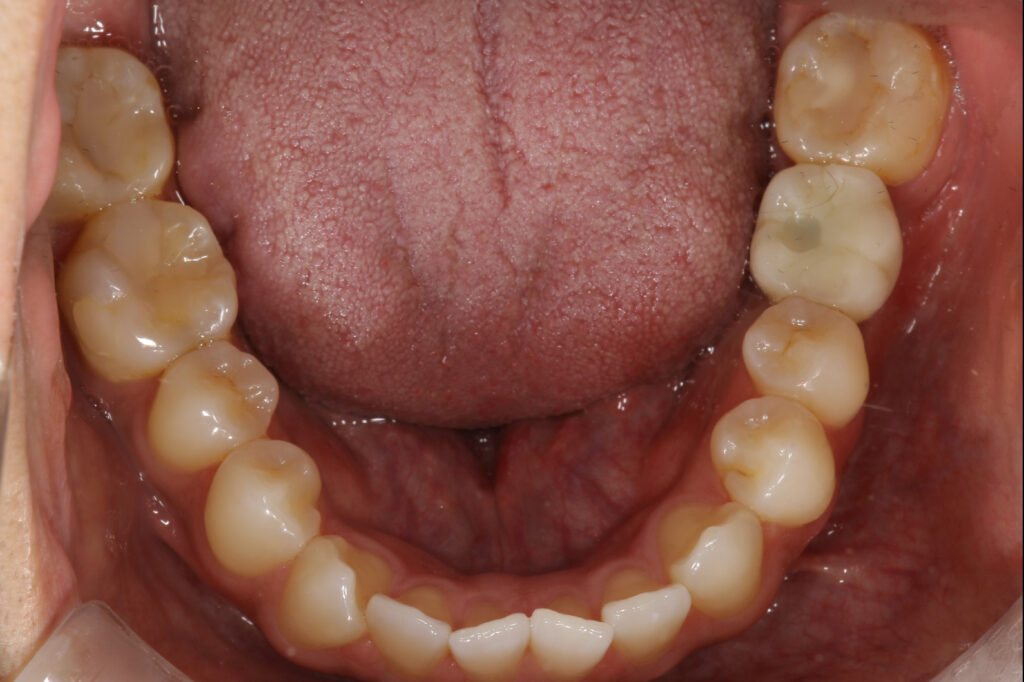
左下奥歯を1本インプラント治療した症例
| 主訴 | 左下の被せ物のところの匂いが消えない。違和感があるので見てほしい |
|---|---|
| 年齢 | 20代男性 |
| 治療内容 | 歯質と補綴物の不適合あり。CT撮影を行って確認したが残すことが難しい為インプラント治療へ。 最終的なかぶせものはご自身の歯と変わらないような仕上がりとなっています。 |
| 抜歯部位 | 左下6 |
| 費用 | 術前検査:27,500 1次オペ:220,000~ 2次オペ:20,000~ 補綴:220,000~ 計500,000~+税 |
- リスク・副作用
- 腫れや疼痛を感じる、違和感を感じるなどの症状を生じることがあります。
また喫煙、糖尿病、加齢、清掃不良などに伴いインプラント周囲の骨に炎症が起こり、再治療が必要になる場合があります。
10年保証を受けるには当院にて年2回以上のメンテナンスが必要になります。
(メンテナンスはインプラント治療に関わらず、一般的にご自身の歯の場合でも必要であると思われます。)



